矯正治療例Case Presentation
当院で行った矯正治療の一例です。
いずれの症例も、非抜歯矯正治療(歯を抜かないで矯正治療)にて行いました。
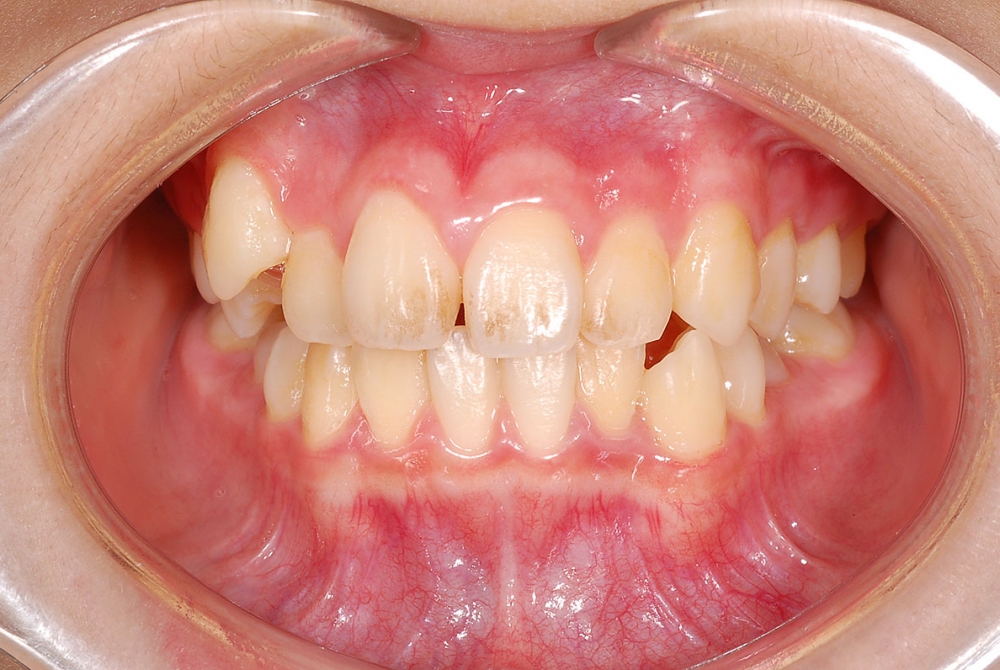
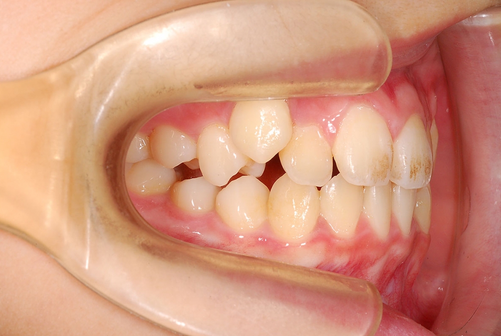
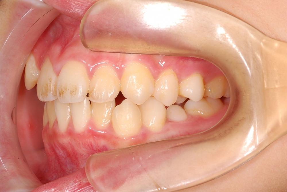
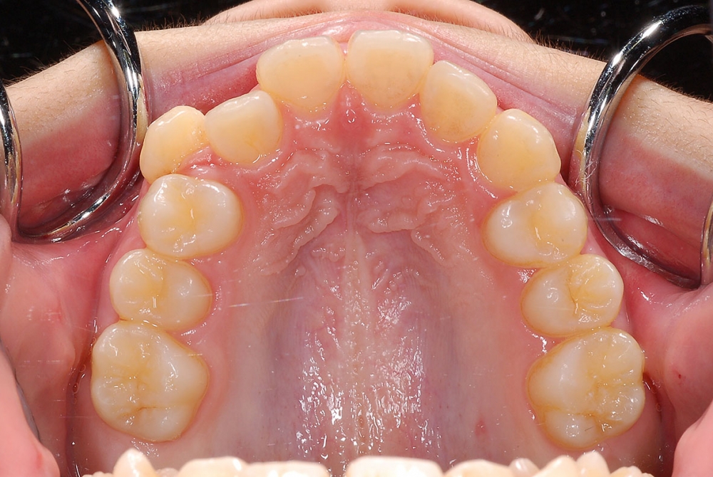
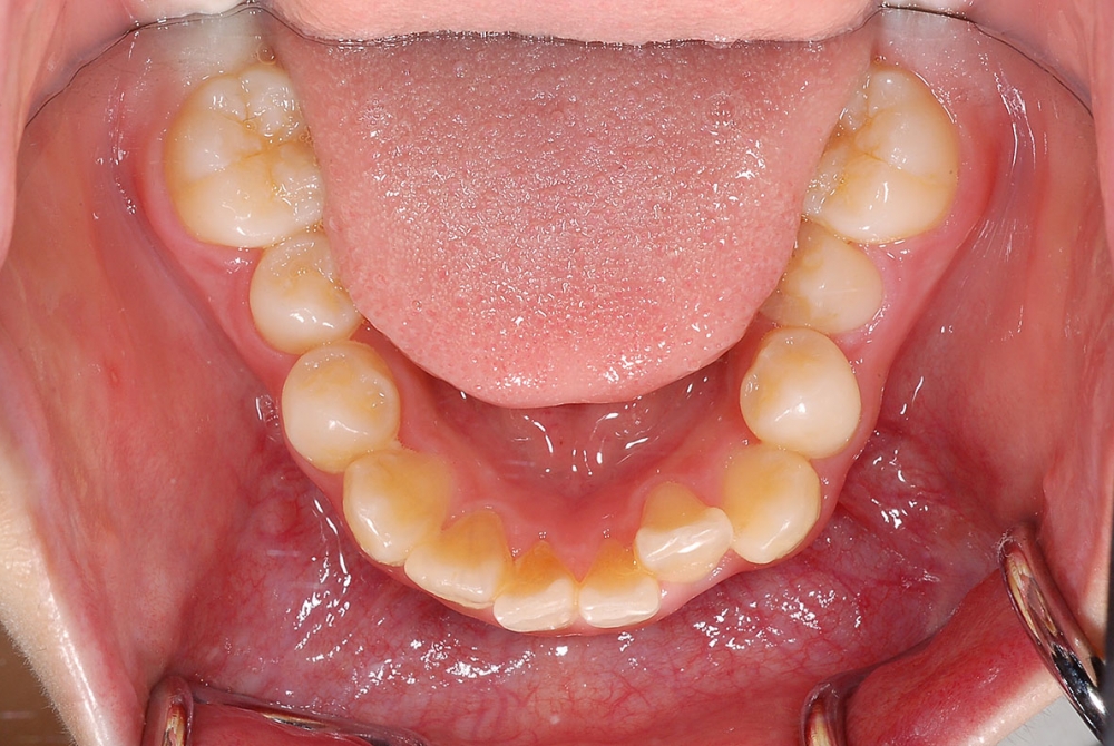
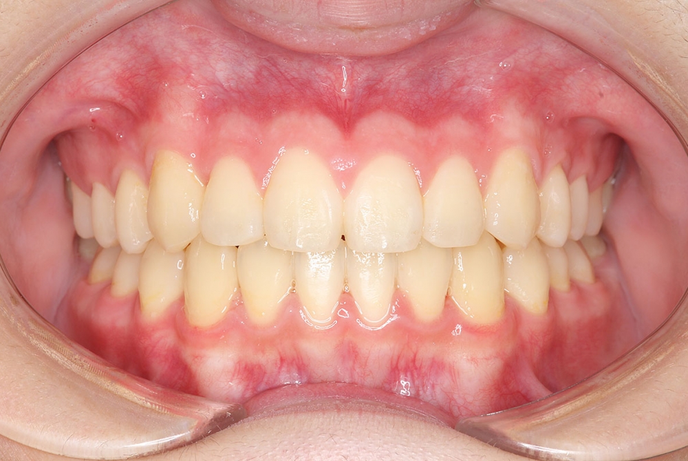
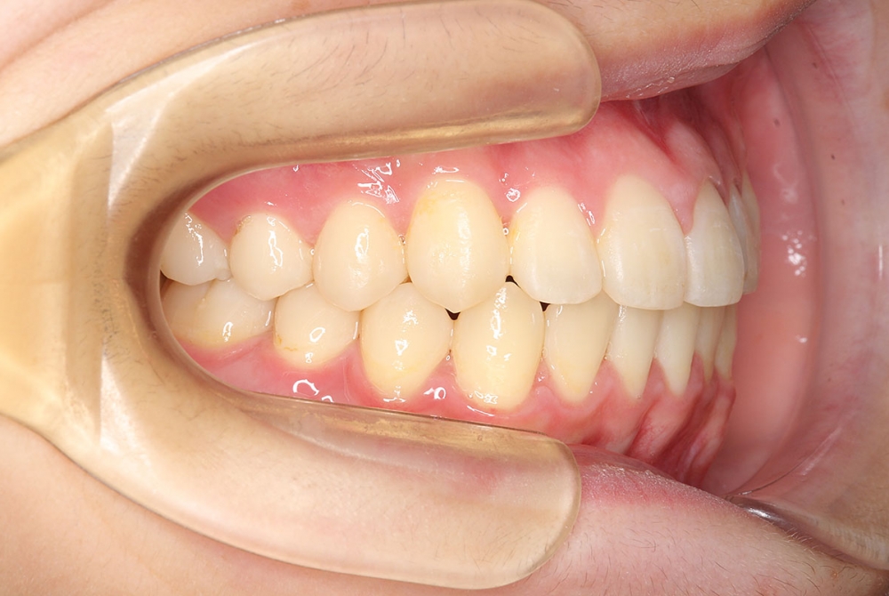
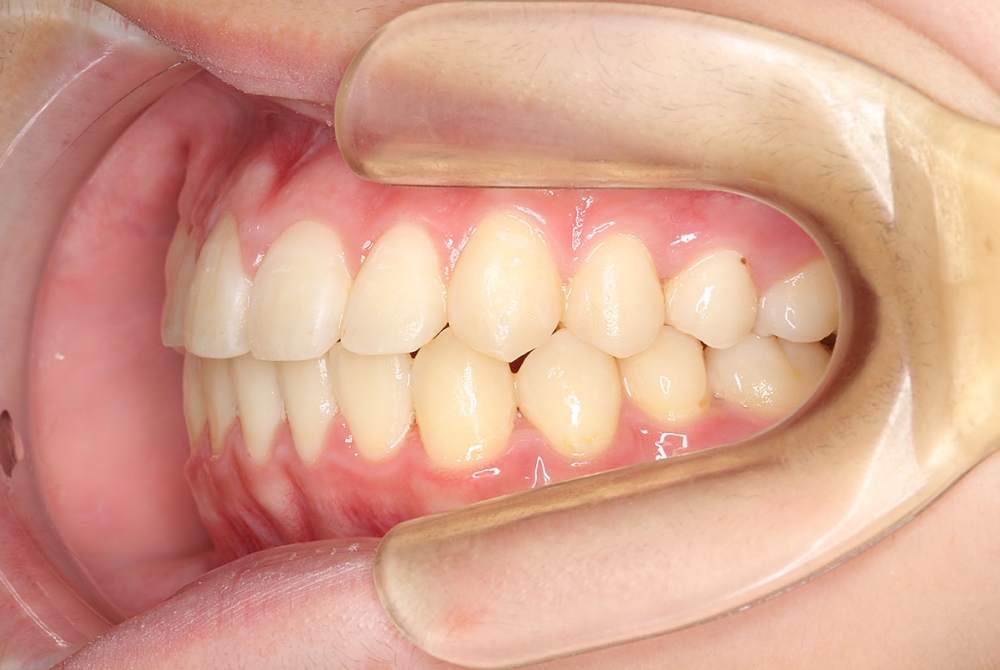
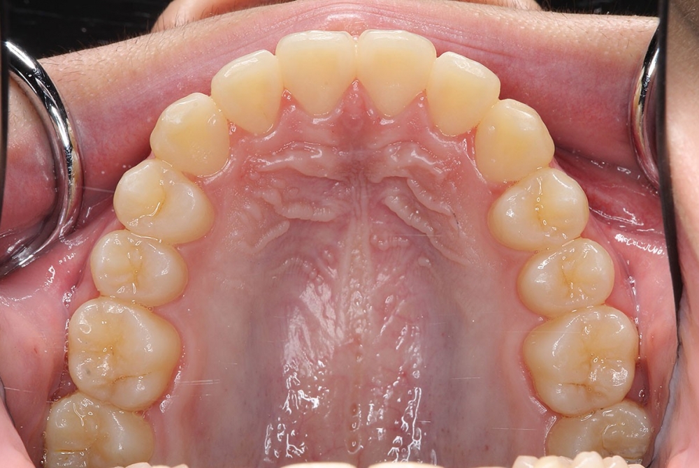
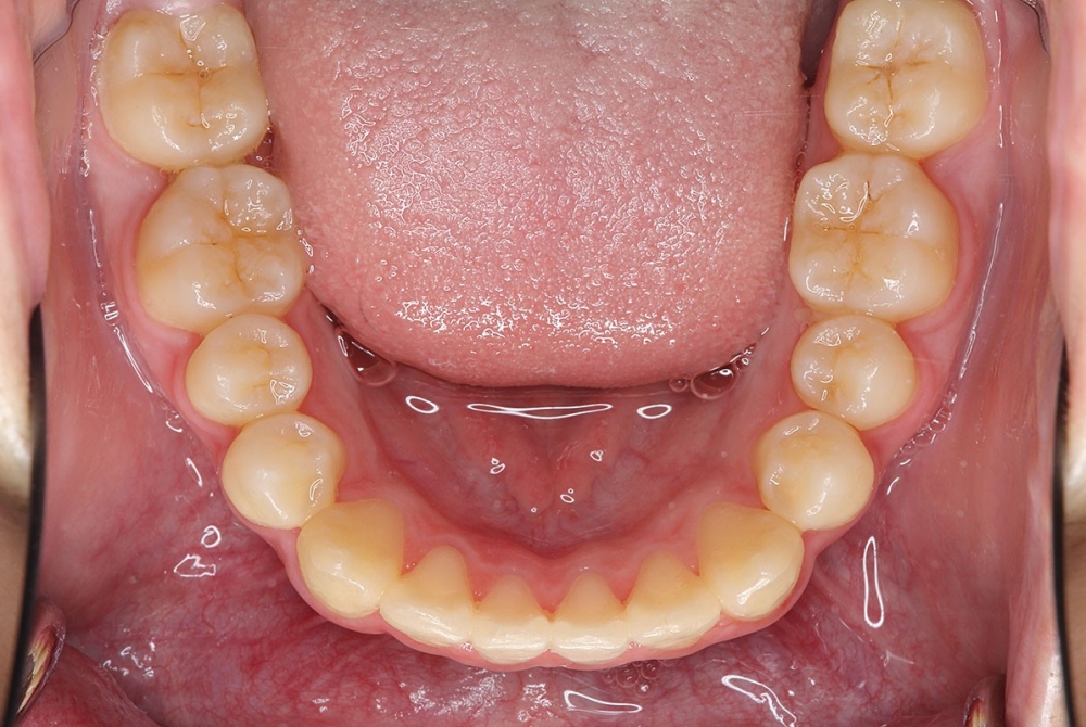
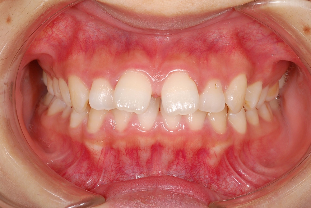
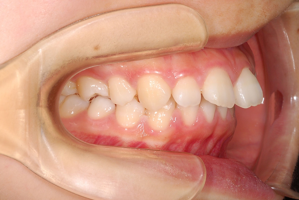
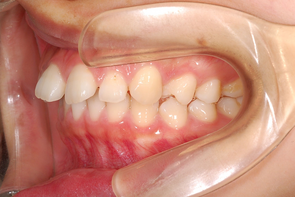
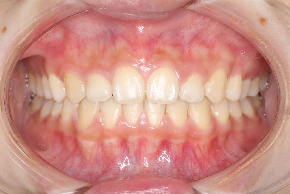
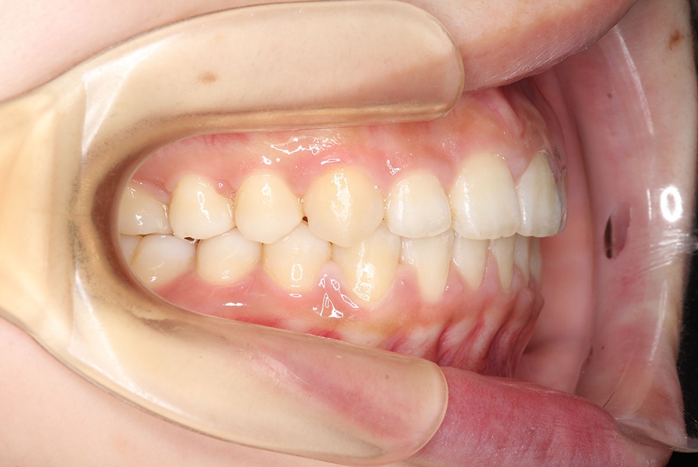
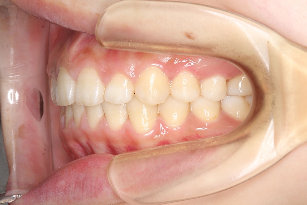
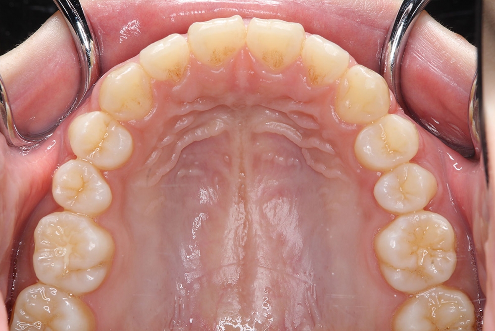
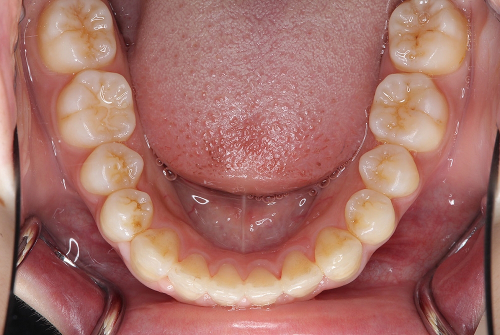
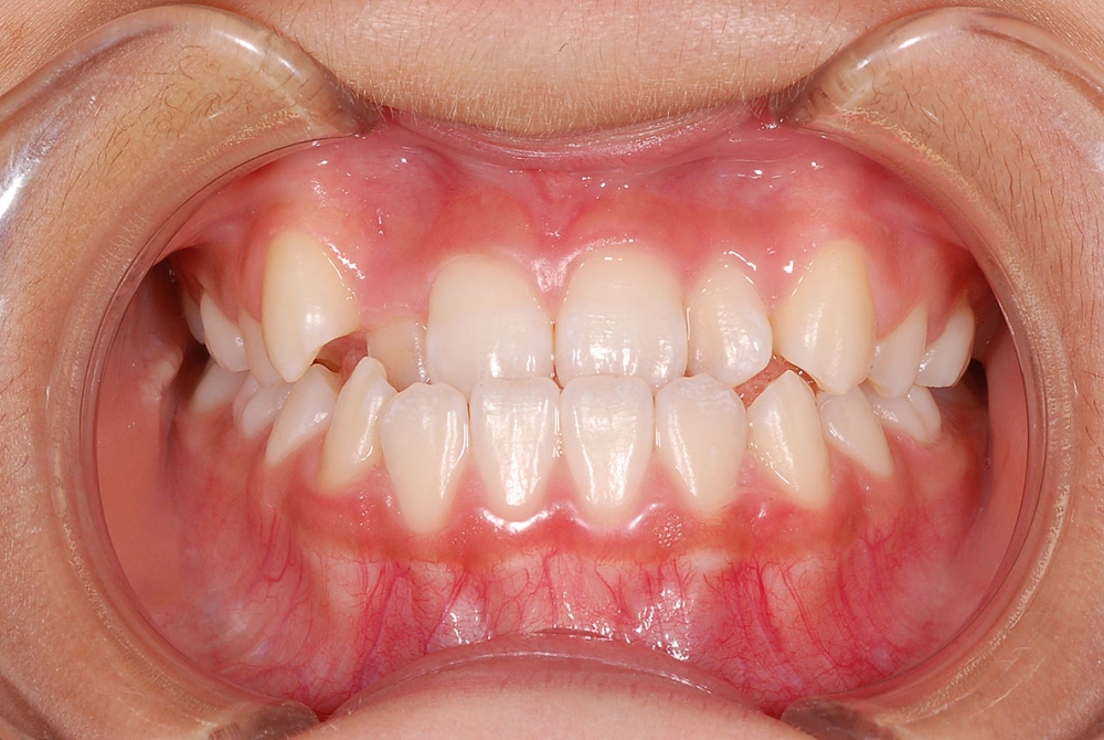
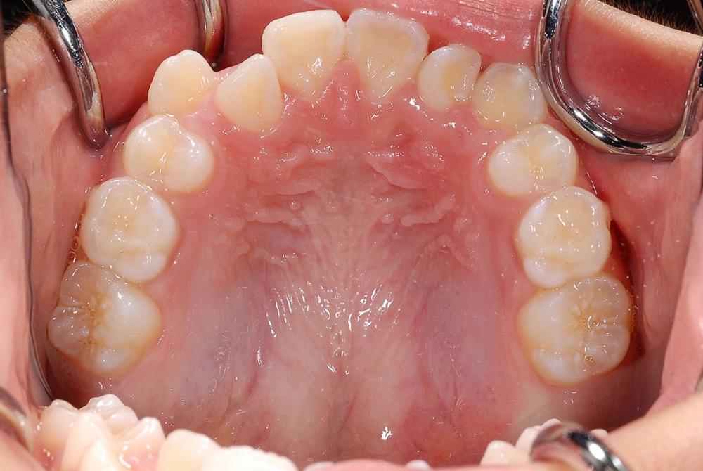
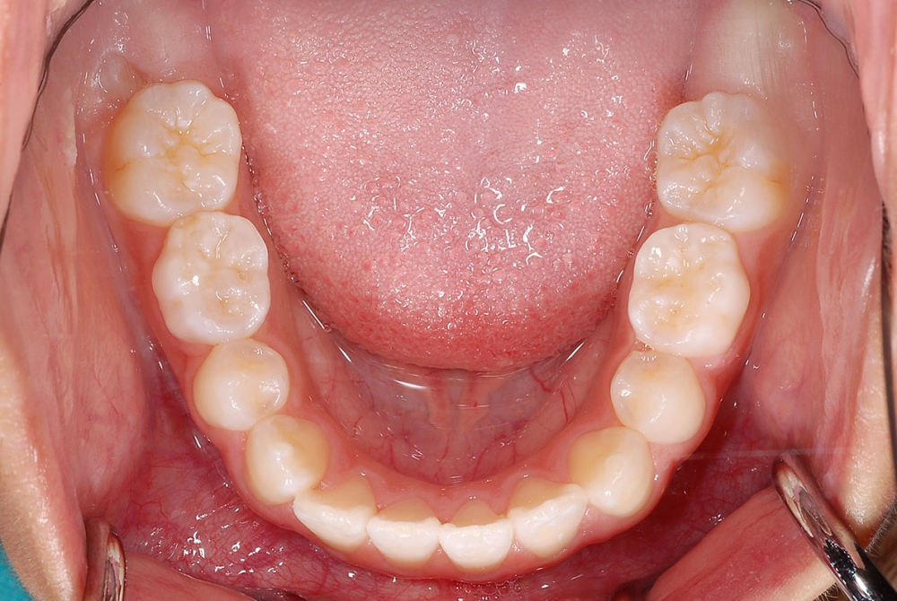
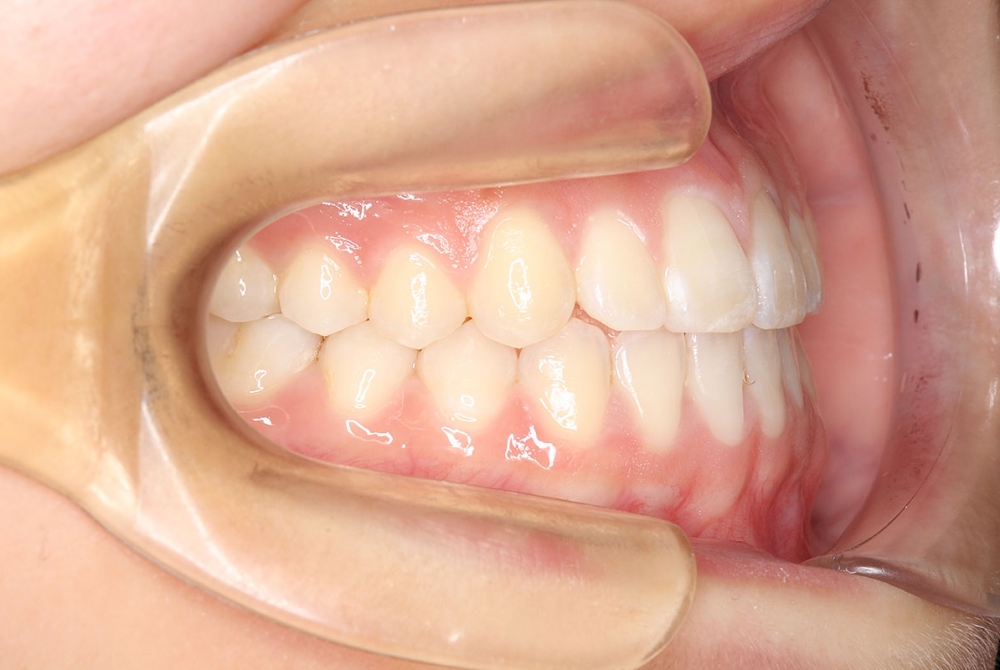
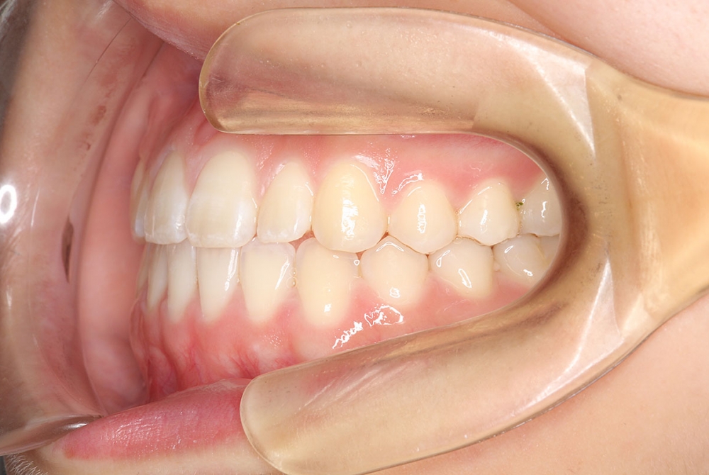
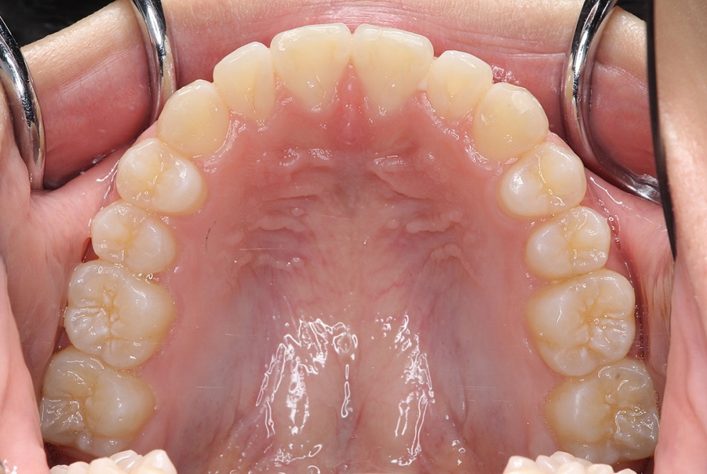
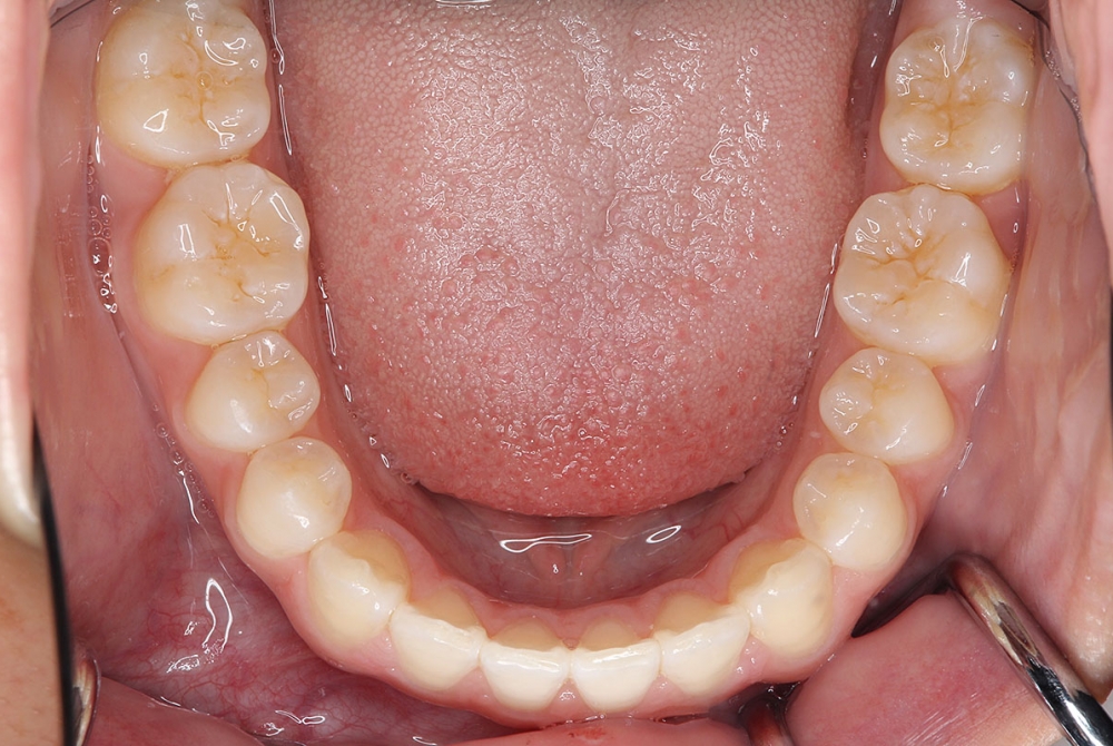
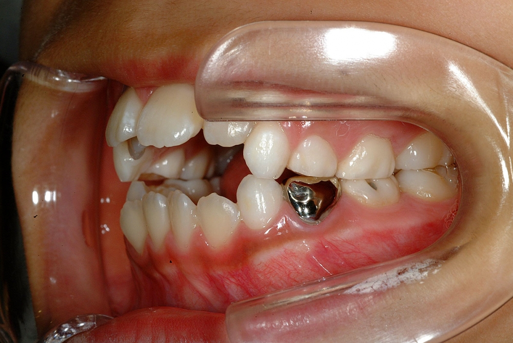
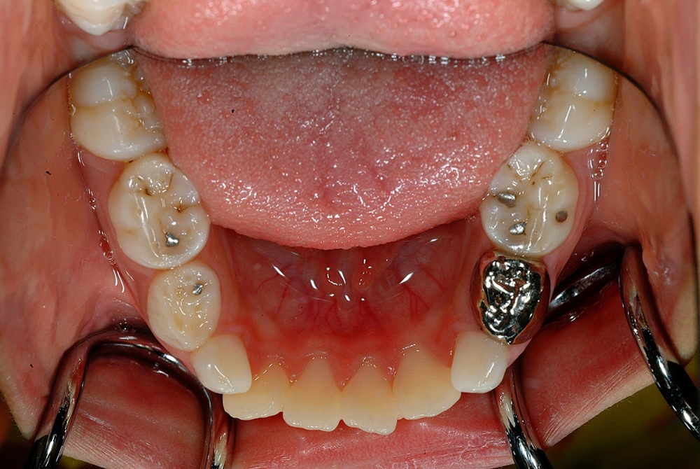
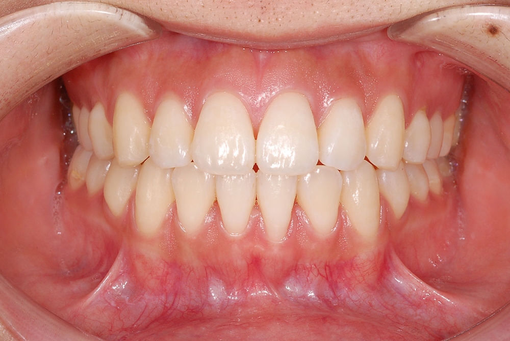
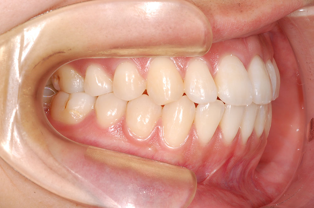
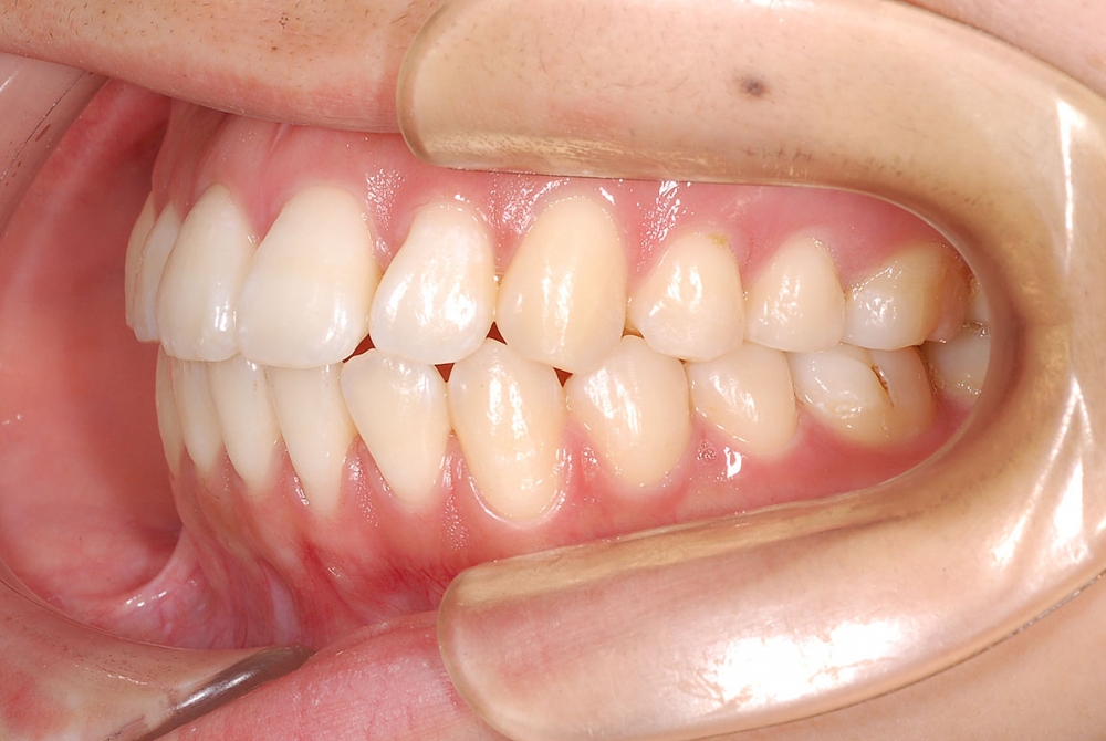
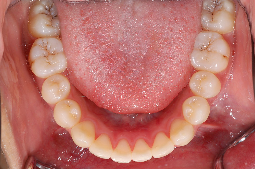
叢生症例(乱杭歯)
治療前
治療後
上あごが小さいため、あごを拡げる装置で上あごを拡大、下あごの奥歯は内側に倒れているため、あごを拡げる装置(リップバンパー)で下あごの臼歯を外側へ整直。
その間、舌や咀嚼筋の機能訓練を継続。
その後、上下歯列ともワイヤーの装置(エッジワイズ装置)できれいに並べ、かみ合わせを整えていきました。
| 主訴 | 八重歯、歯のがたがた | 
|---|---|
| 初診時年齢 | 13歳8か月 | 
| 診断 | 顕著な叢生を伴うアングルI級症例 | 
| 治療に用いた装置 | スケルトンタイプの拡大装置(ハイラックス) パラタルアーチ エッジワイズ装置 | 
| 抜歯部位 | 非抜歯(歯を抜かないで治療) | 
| 治療期間 | 上あごを拡大する治療 3か月 歯を並べ、かみ合わせを改善させる治療 2年2か月 | 
| 治療費 | 検査料40,000円 診断料20,000円 基本料650,000円 診察料5,000円*通院回数 | 
| リスク | 矯正治療には、装置による痛み、清掃不良によるう蝕・歯肉炎、歯の移動による歯根吸収などのリスクがありますが、治療初期の痛み以外は認められませんでした。 | 
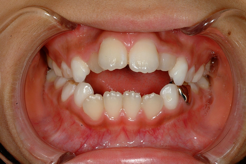
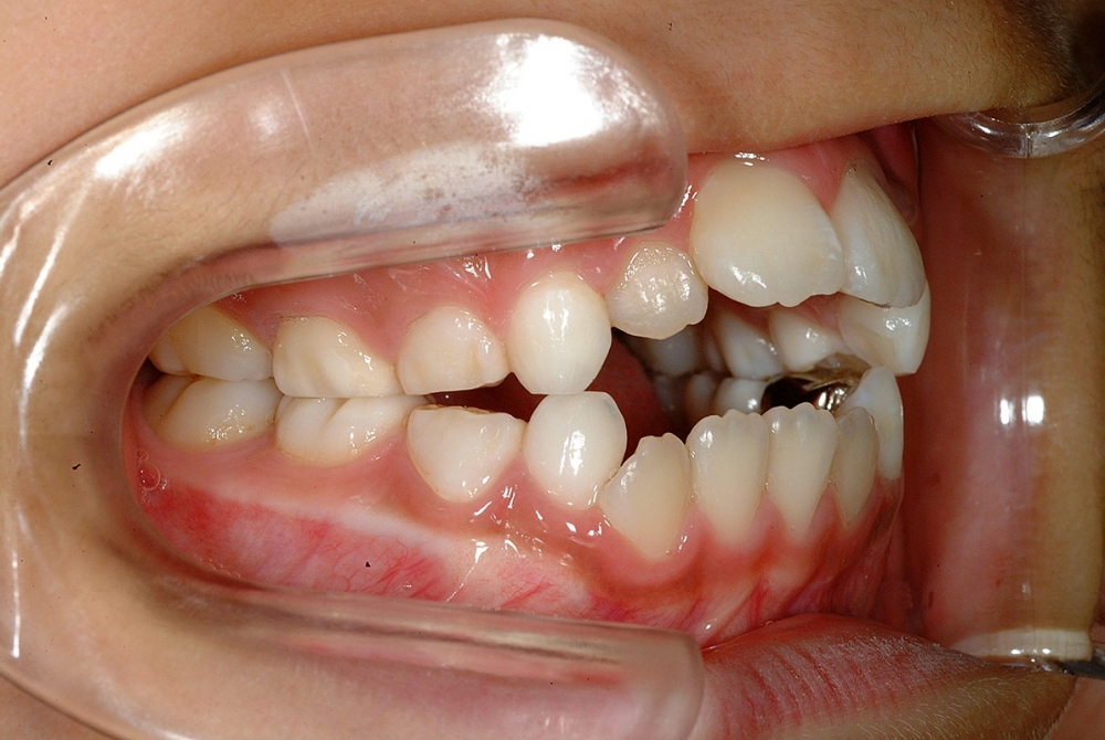
上顎前突症例(出っ歯)
治療前
治療後
上あごが小さいため、あごを拡げる装置(ハイラックス)で上あごを拡大、上あごの奥歯が前方にあるので、上あごの奥歯を動かす装置(GMD装置)で後方へ移動。続けて小臼歯を移動。
その後、上下歯列ともワイヤーの装置(エッジワイズ装置)で、さらに前歯を動かし、全体的にきれいに並べ、かみ合わせを整えていきました。
| 主訴 | 出っ歯 | 
|---|---|
| 初診時年齢 | 21歳2か月 | 
| 診断 | 過蓋咬合を伴うアングルII級1類症例 | 
| 治療に用いた装置 | GMD装置 リンガルアーチ エッジワイズ装置 | 
| 抜歯部位 | 非抜歯(歯を抜かないで治療) | 
| 治療期間 | 上の奥歯を後方へ移動させる治療 4か月 歯を並べ、かみ合わせを改善させる治療 2年1か月 | 
| 治療費 | 検査料40,000円 診断料20,000円 基本料650,000円 診察料5,000円*通院回数 | 
| リスク | 矯正治療には、装置による痛み、清掃不良によるう蝕・歯肉炎、歯の移動による歯根吸収などのリスクがありますが、治療初期の痛み以外は認められませんでした。 | 
下顎前突症例(受け口)
治療前
治療後
上あごが小さいため、あごを拡げる装置(ハイラックス)で上あごを拡大、上の前歯を後ろに動かすスペース確保のため、ヘッドギアで上の奥歯を後方移動、下あごの奥歯は内側に倒れているため、あごを拡げる装置(リップバンパー)で下あごの臼歯を外側へ整直。
その間、舌や咀嚼筋の機能訓練を継続。
その後、上下歯列ともワイヤーの装置(エッジワイズ装置)できれいに並べ、かみ合わせを整えていきました。
| 主訴 | 受け口 | 
|---|---|
| 初診時年齢 | 11歳4か月 | 
| 診断 | 叢生および反対咬合を伴う骨格性III級症例 | 
| 治療に用いた装置 | クワドヘリックス 上顎前方牽引装置(フェースマスク) リップバンパー エッジワイズ装置 | 
| 抜歯部位 | 非抜歯(歯を抜かないで治療) | 
| 治療期間 | 上あごの拡大、上あごの前方成長促進、下の奥歯の整直を行う治療 1年6か月(第1期治療) 歯を並べ、かみ合わせを改善させる治療 2年(第2期治療) | 
| 治療費 | 検査料40,000円 診断料20,000円 基本料650,000円 診察料5,000円*通院回数 | 
| リスク | 矯正治療には、装置による痛み、清掃不良によるう蝕・歯肉炎、歯の移動による歯根吸収などのリスクがありますが、治療初期の痛み以外は認められませんでした。 | 
開咬症例
治療前
治療後
上あごが小さいため、あごを拡げる装置(クワドヘリックス)で上あごを拡大、上の前歯を後ろに動かすスペース確保のため、ヘッドギアで上の奥歯を後方移動、下あごの奥歯は内側に倒れているため、あごを拡げる装置(リップバンパー)で下あごの臼歯を外側へ整直。
その間、舌や咀嚼筋の機能訓練を継続。
その後、上下歯列ともワイヤーの装置(エッジワイズ装置)できれいに並べ、前歯の上下が閉じていく装置(顎間エラスティック)を用いながら、かみ合わせを整えていきました。
| 主訴 | 上下の前歯が開いていること | 
|---|---|
| 初診時年齢 | 8歳3か月 | 
| 診断 | 重度の開咬を伴うアングルII級1類症例 | 
| 治療に用いた装置 | クワドヘリックス ヘッドギア リップバンパー エッジワイズ装置 | 
| 抜歯部位 | 非抜歯(歯を抜かないで治療) | 
| 治療期間 | 上あごの拡大、上の奥歯の後方移動、下の奥歯の整直を行う治療 3年9か月(第1期治療) 歯を並べ、かみ合わせを改善させる治療 3年(第2期治療) | 
| 治療費 | 検査料40,000円 診断料20,000円 基本料650,000円 診察料5,000円*通院回数 | 
| リスク | 矯正治療には、装置による痛み、清掃不良によるう蝕・歯肉炎、歯の移動による歯根吸収などのリスクがありますが、治療初期の痛み以外は認められませんでした。 | 



 
	 
	 
	 
	 
	 
	 
	 
	 
	 
	 
	 
	 
	 
	 
	 
	 
	 
	 
	 
	 
	 
	 
	 
	 
	 
	 
	 
	 
	 
	 
	 
	 
	 
	 
	 
	 
	 
	 
	 
	


 
